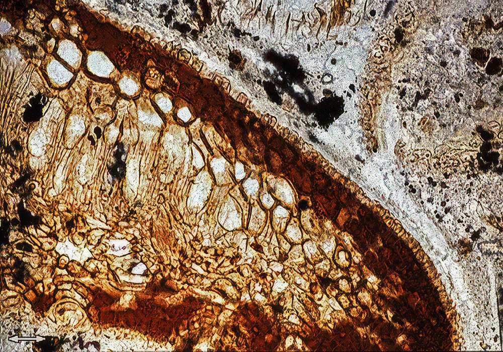
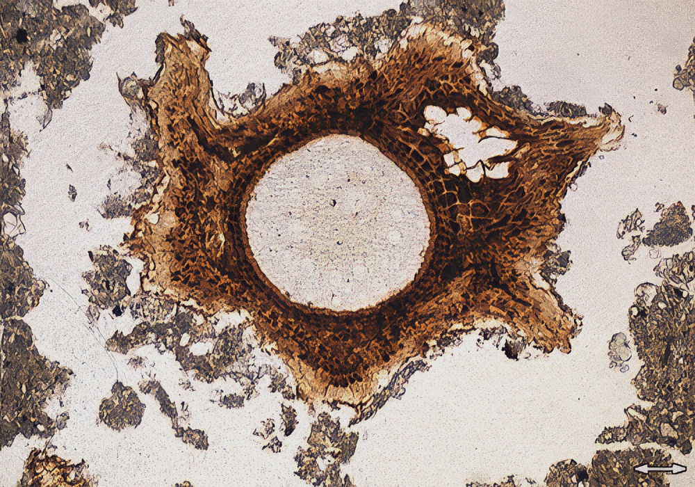
2. Basic coarse organic components. Organ residues

 

Roots

 

 

Home page | Contents | | | Next | Top