1. Introducción: defectos en las láminas

Presencia de abrasivo

 

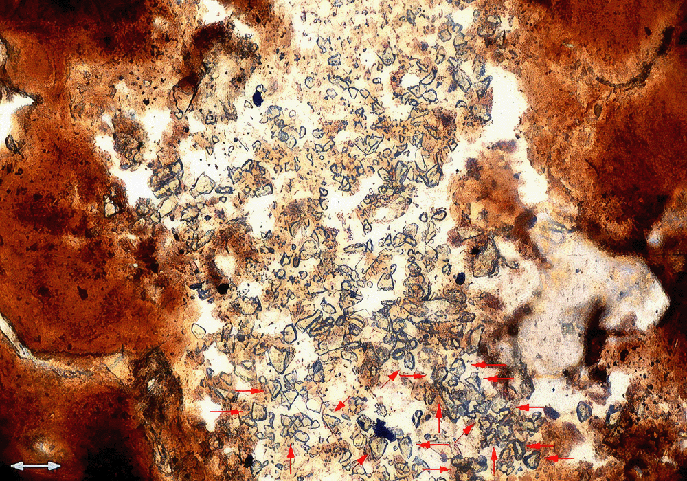
Los granos de esmeril (polvo abrasivo) pueden clavarse en la resina de inclusión y quedar retenidos en la preparación.

 

 

Indice | Introducción | Defectos preparaciones | Anterior | Siguiente | Principio página