4. Edaforrasgos

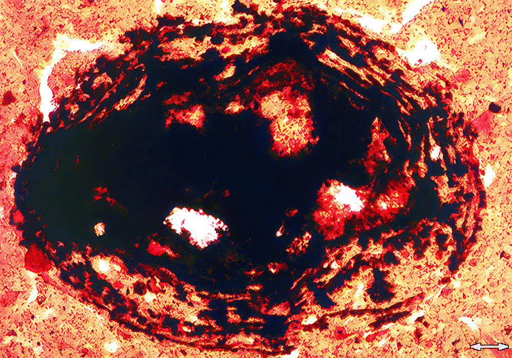
Nódulos por su contextura

 

Se pueden distinguir los siguientes subtipos de acuerdo con su contextura:

Típicos (typic). Presentan contextura indiferenciada

Concéntricos (concentric). Presentan contextura concéntrica

Nucléicos (nucleic). Presentan un núcleo distintivo.

Geódicos (geodic). Presentan un poro interior

Septáricos (septaric). Presentan un modelo de grietas radiales.

Pseudomórficos (pseudomorphic). En los que la contextura interna es pseudomórfica con alguna substancia.

Halos (halo). Presentan un núcleo fuertemente impregnado y una corteza con una impregnación más débil.

También se definen por su grado de impregnación (puro, impregnación fuerte, moderada y bajo) y por la nitidez de su borde (neto y difuso).

 

Indice | Edaforrasgos | Anterior | Siguiente | Principio página