Edaforrasgos

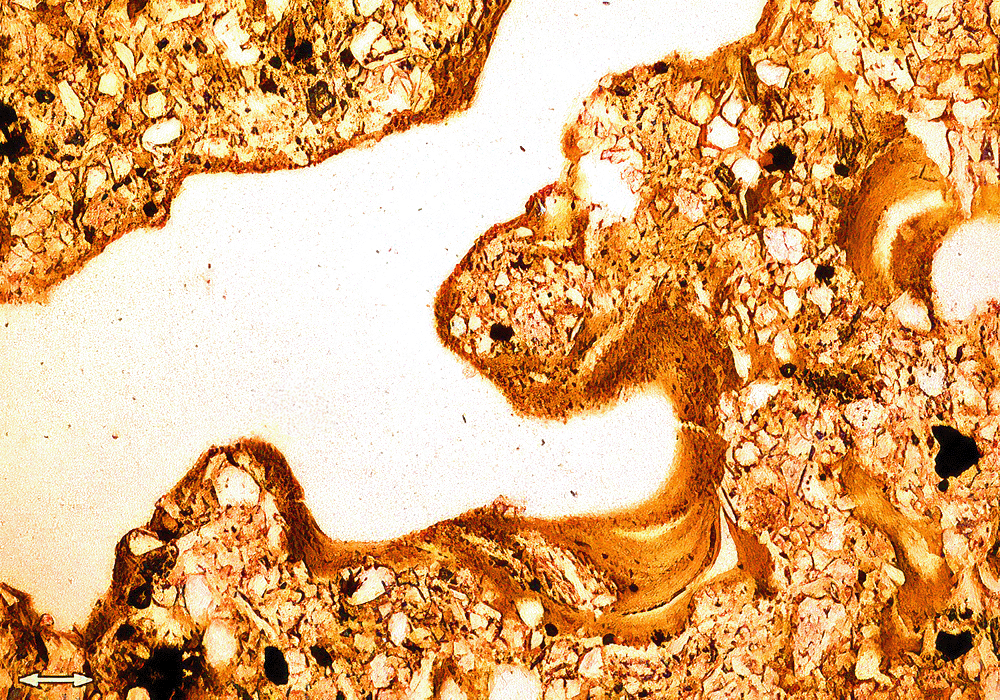
Revestimientos, hiporrevestimientos y rellenos

Son de naturaleza muy diversa:

De arcilla

De carbonatos

De yeso

De compuestos de Fe

De compuestos de Mn

De compuestos orgánicos

Compuestos de capas de distinta naturaleza

en estos casos se trata de arcilla y carbonatos

 

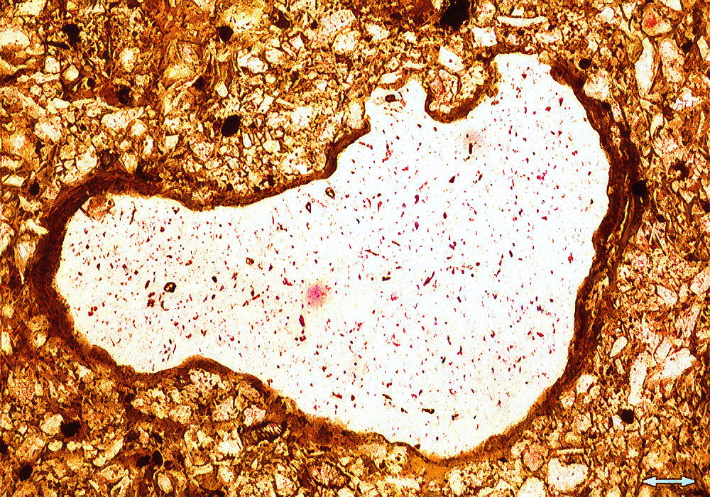
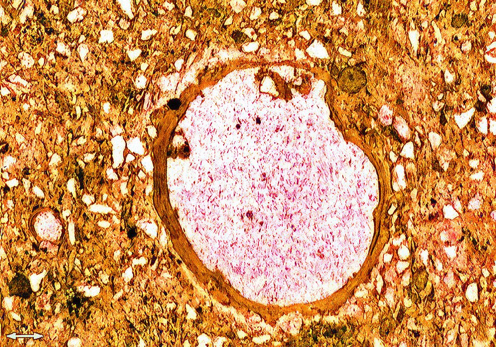
Morfológicamente los revestimientos de arcilla se pueden subdividir fundamentalmente en:

Típicos (typic). De espesor regular o aproximadamente regular.

Crecientes (crescent). Con contextura elongada en forma creciente, de media luna.

 

Por la laminación pueden ser:

No laminadas. Masivas.

Microlaminadas. Presentan microlaminaciones (<30micras) alternantes o laminadas si el espesor de las capitas supera las 30 micras..

 

  volver