3.Groundmass

Related distribution

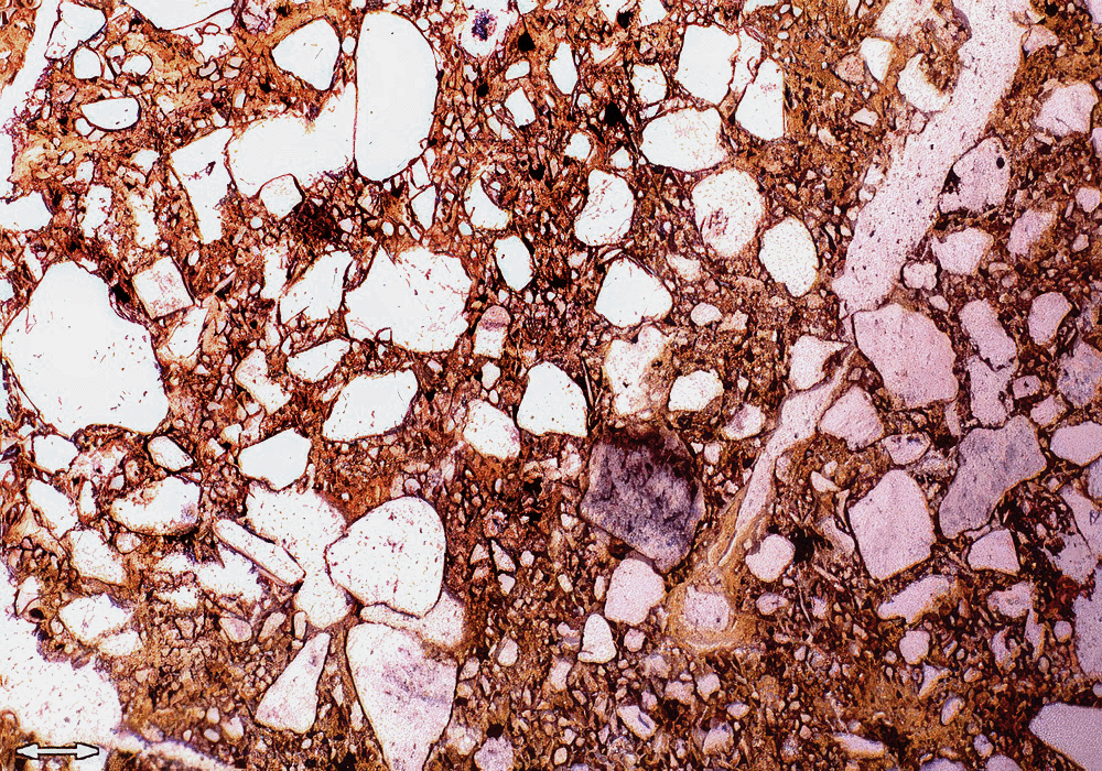
Porphyric

 

The largest units are in a dense mass that encompasses the smallest units.

Several types are defined depending on the proportion between the coarse and the fine constituents:

Open porphyric. The coarse grains are not very abundant and they float in a continuous mass of fine material. This is the most frequent.

Double spaced porphyric. The grains are separated at a distance equivalent to double their size.

Single spaced porphyric. The grains are separated at a distance equivalent to their size.

Close porphyric. The grains have points of contact with each other.

 

Key to c/f distributions

 

Home page | Contents | Groundmass | c/f distributions | Previous | Next | Top