4. Pedofeatures

Morphological classification of coatings

 

Morphologically, these features can be subdivided into:

Typic. With a regular or approximately regular thickness (all the following examples are of clay).

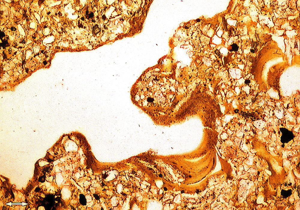
Crescent. With an elongated fabric in a crescent shape (all the following examples are of clay).

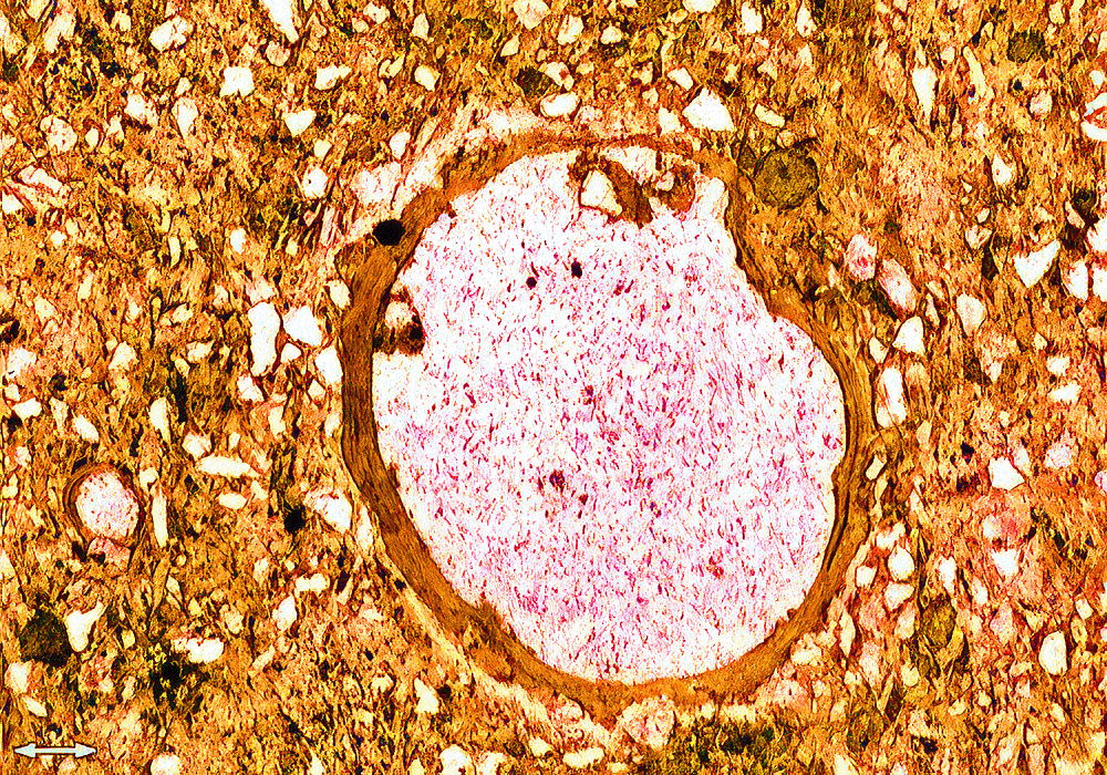
Capping. On top of free or embedded grains or aggregates.

Link capping. Like the previous one, but covering two or more fabric units.

Pendent. On the lowest part of a grain or aggregate.

Micropan. Thick coatings (> 0.5 mm) that occur horizontally in the soil.

Crust. A thick coating on the soil surface.

 

Key to coatings

 

Home page | Contents | Pedofeatures | Previous | Next | Top